Skip to content Skip to sidebar Skip to footer

Tongue Thrust Treatment For Adults

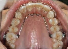
What Is A Tongue Crib How Does It Help Newpark Orthodontics

What Is A Tongue Crib How Does It Help Newpark Orthodontics

Tongue thrust treatment for adults. Exercises for the Improvement of Tongue Strength Flexibility and Positioning. One of the major exercises with this program involves stroking the sides of your tongue to stimulate and tighten the muscles which can result in a skinnier tongue. Some of the most common treatments for tongue thrust are outlined below.

The Tongue Stick was specifically designed to perform two of these special exercises. Bilateral deep brain pallidal stimulation was beneficial in two cases. If tongue thrust is caught early this is the best treatment method.

Myofunctional Therapy Much like physical therapy for your body myofunctional therapy uses a specific series of exercises that train the tongue and mouth to function properly when swallowing and breathing. Press the tip of your tongue against the roof of your mouth so that its pushing against the gum just behind your upper front teeth. A few sample shots from a DVD which will provide a complete set of tongue thrust therapy exercises on video.

These tongue cribs sit on the roof of the mouth and expand the palate. We will help you eliminate the triggers that are causing the tongue to rest in a low forward position and then develop a treatment plan to strengthen and coordinate the muscles so the tongue can remain suctioned up onto the palate where it belongs. ADULT TONGUE THRUST TREATMENT.

Holding teeth tightly together and with. The pathophysiology of intermittent severe tongue protrusion remains unknown. Place a sugar-free lifesaver on the tip of your tongue.

These methods while helpful are frequently temporary. Regarding adults if tongue thrust is not caught at a young age braces could be used. If there is a concurrent nonnutritive sucking habit or history of mouth breathing these issues should be managed first.

It ensures that you are stroking the targeted tongue muscles. ADULT TONGUE THRUST TREATMENT - YouTube.

Orthodontic Treatment For Tongue Thrusting Habit Different Options Youtube

Orthodontic Treatment For Tongue Thrusting Habit Different Options Youtube

Tongue Crib How This Device Corrects Tongue Thrusting

Tongue Crib How This Device Corrects Tongue Thrusting

Oral Muscle Therapy Omt Aurora Orthodontics Tmj Aurora Colorado

Oral Muscle Therapy Omt Aurora Orthodontics Tmj Aurora Colorado

Case Of The Month Office Of Dr John Digiovanni Newport Beach Ca

Case Of The Month Office Of Dr John Digiovanni Newport Beach Ca

Does Your Tongue Affect Your Orthodontic Treatment Myofunctional Therapy Exercises For Mouth Breathing Sleep Apnea Braces And Speech

Does Your Tongue Affect Your Orthodontic Treatment Myofunctional Therapy Exercises For Mouth Breathing Sleep Apnea Braces And Speech

This 17 Year Old Girl Has A Tongue Reminder Habit Appliance In Her Mouth To Correct A Tongue Thrust Or Prevent The Tongue Thrust Orofacial Myology Oral Motor

This 17 Year Old Girl Has A Tongue Reminder Habit Appliance In Her Mouth To Correct A Tongue Thrust Or Prevent The Tongue Thrust Orofacial Myology Oral Motor

Pacient With Anterior Open Byte Consecutive To The Tongue Thrust In Download Scientific Diagram

Pacient With Anterior Open Byte Consecutive To The Tongue Thrust In Download Scientific Diagram

36 Tongue Thrust Correction Ideas Tongue Thrust Myofunctional Therapy Orofacial Myofunctional Therapy

36 Tongue Thrust Correction Ideas Tongue Thrust Myofunctional Therapy Orofacial Myofunctional Therapy

Tongue Thrust Correction At Smile Appeal Orthodontics

Tongue Thrust Correction At Smile Appeal Orthodontics

What Is A Tongue Thrust And How Is It Treated Winning Smiles Orthodontics

What Is A Tongue Thrust And How Is It Treated Winning Smiles Orthodontics

Tongue Thrusting Dr Talat Naz

Tongue Thrusting Dr Talat Naz

Tongue Posture Thrust Second Breath

Tongue Posture Thrust Second Breath

Tongue Thrusting Dr Talat Naz

Tongue Thrusting Dr Talat Naz

12 Habit Appliances To Correct Thumbsucking Tongue Thrust Ideas Tongue Thrust Tongue Habits

12 Habit Appliances To Correct Thumbsucking Tongue Thrust Ideas Tongue Thrust Tongue Habits

Orthodontic Habits And Problems In Kids Hometown Orthodontics

Orthodontic Habits And Problems In Kids Hometown Orthodontics

Does Tongue Thrusting Create Anterior Open Bites Affordable Braces Jorgensen Orthodontics

Does Tongue Thrusting Create Anterior Open Bites Affordable Braces Jorgensen Orthodontics

Concept 55 Of Tongue Thrust Crib Amoreodiarie

Concept 55 Of Tongue Thrust Crib Amoreodiarie

Tongue Thrust Braces Myo Goals

Tongue Thrust Braces Myo Goals

Tongue Thrust Video Myofunctional Therapist Youtube

Tongue Thrust Video Myofunctional Therapist Youtube

Orthodontic Habits And Problems In Kids Hometown Orthodontics

Orthodontic Habits And Problems In Kids Hometown Orthodontics

Recognizing Tongue Thrust Patients Registered Dental Hygienist Rdh Magazine

Recognizing Tongue Thrust Patients Registered Dental Hygienist Rdh Magazine

Tongue Tie Treatment Myofunctional Therapy Dr Tad Morgan

Tongue Tie Treatment Myofunctional Therapy Dr Tad Morgan

Tongue Thrust Wikipedia

Tongue Thrust Wikipedia

3

3

Tongue Thrust Carmen Woodland Myofunctional Therapy

Tongue Thrust Carmen Woodland Myofunctional Therapy

Tongue Thrust Explanation And Exercises

Tongue Thrust Explanation And Exercises

Tongue Thrust Therapy Ark Therapeutic

Tongue Thrust Therapy Ark Therapeutic

About Tongue Thrusting Habit

About Tongue Thrusting Habit

Orofacial Myofunctional Therapy It S Not Tongue Thrust Therapy Dentistryiq

Orofacial Myofunctional Therapy It S Not Tongue Thrust Therapy Dentistryiq

Before After Photos San Diego Center For Speech Therapy

Before After Photos San Diego Center For Speech Therapy

Orofacial Myofunctional Therapy Not Tongue Thrust Therapy Allforspeech

Orofacial Myofunctional Therapy Not Tongue Thrust Therapy Allforspeech

Myofunctional Therapy Spokane

Myofunctional Therapy Spokane

Before After Photos San Diego Center For Speech Therapy

Before After Photos San Diego Center For Speech Therapy

Appliance Use For Oral Habit Patterns Iaom

Appliance Use For Oral Habit Patterns Iaom

Tongue Thrust Swallow Orthodontic Matters Episode 11 Youtube

Tongue Thrust Swallow Orthodontic Matters Episode 11 Youtube

Tongue Thrusting

Tongue Thrusting

Orthodontist In Charleston Sc How A Tongue Thrust Affects Your Teeth

Orthodontist In Charleston Sc How A Tongue Thrust Affects Your Teeth

Tongue Thrust Reflective Smiles

Tongue Thrust Reflective Smiles

Tongue Thrust Therapy Melbourne Box Hill Speech Pathology Clinic

Tongue Thrust Therapy Melbourne Box Hill Speech Pathology Clinic

How To Stop A Tongue Thrust Dougherty Orthodontics

How To Stop A Tongue Thrust Dougherty Orthodontics

Tongue Thrust Boyd Orthodontics Columbia Sc

Tongue Thrust Boyd Orthodontics Columbia Sc

Tongue Thrust While Eating A Well Supported And Slightly Flexed Position Reduces The Severity Speech Language Therapy Speech Therapy Speech Therapy Materials

Tongue Thrust While Eating A Well Supported And Slightly Flexed Position Reduces The Severity Speech Language Therapy Speech Therapy Speech Therapy Materials

Before After Gallery

Before After Gallery

Long Term Stability Of An Anterior Open Bite Malocclusion Treated In The Mixed Dentition A Case Report

Long Term Stability Of An Anterior Open Bite Malocclusion Treated In The Mixed Dentition A Case Report

Is Tongue Thrusting Reversing Your Orthodontic Treatment Gains Sml

Is Tongue Thrusting Reversing Your Orthodontic Treatment Gains Sml

Mittal Bonded Tongue Thrusting Appliance Apos Trends In Orthodontics

Mittal Bonded Tongue Thrusting Appliance Apos Trends In Orthodontics

Pdf Patient Compliance To Two Treatment Modalities For Tongue Thrust Habit A Comparative Clinical Study Semantic Scholar

Pdf Patient Compliance To Two Treatment Modalities For Tongue Thrust Habit A Comparative Clinical Study Semantic Scholar

Tongue Thrusting

Tongue Thrusting

1

1

One of the major exercises with this program involves stroking the sides of your tongue to stimulate and tighten the muscles which can result in a skinnier tongue.

If there is a concurrent nonnutritive sucking habit or history of mouth breathing these issues should be managed first. These methods while helpful are frequently temporary. Limited or interceptive orthodontics should be considered if the patient exhibits malocclusion. The Tongue Stick was specifically designed to perform two of these special exercises. ADULT TONGUE THRUST TREATMENT. Regarding adults if tongue thrust is not caught at a young age braces could be used. We will help you eliminate the triggers that are causing the tongue to rest in a low forward position and then develop a treatment plan to strengthen and coordinate the muscles so the tongue can remain suctioned up onto the palate where it belongs. Correcting low forward tongue posture and tongue thrust swallows minimizes the risk of orthodontic relapse A study done by Hahn and Hahn 1992 revealed that treatment for OMDs should be 80-90 effective in correcting rest posture swallowing and other oral function and that these corrections are retained years after completing therapy. Here is one that we recommend.


If tongue thrust is caught early this is the best treatment method. The Tongue Stick was specifically designed to perform two of these special exercises. Exercises for the Improvement of Tongue Strength Flexibility and Positioning. Touch the target spot with tongue tip ten times. Tongue tip touching the T target -flatten the rest of the tongue against the roof. These tongue cribs sit on the roof of the mouth and expand the palate. Limited or interceptive orthodontics should be considered if the patient exhibits malocclusion.

Post a Comment for "Tongue Thrust Treatment For Adults"