Skip to content Skip to sidebar Skip to footer

Weber-c-fraktur

Sprunggelenksfraktur Symptome Behandlung Heilungsdauer Spatfolgen Gelenk Klinik De

Sprunggelenksfraktur Symptome Behandlung Heilungsdauer Spatfolgen Gelenk Klinik De

Weber-c-fraktur. Use the information below to gain a better understanding of your injury and what can be done to maximise your recovery. Komplizierte Sprunggelenkfraktur des Fußes mit Syndesmosenbeteiligung Die Einteilung der Frakturen A-C erfolgt nach dem Chirurg Wilhelm Weber 1872-1928. It has a role in determining treatment.

Delete the file appworkshop_221100acf in HSteamLibrarysteamappsworkshop wherever your library is 3. Verschobenem Bruch dislozierte Fraktur undoder. Includes free vocabulary trainer verb tables and pronunciation function.

Die Saison 2019 endete für einen unserer Fahrer leider mit einer Weber C Fraktur dennoch sind die ersten Einschreibungen für 2020 schon bestätigt Es wird auch schon wieder fleißig trainiert wir nehmen uns vor euch nächstes Jahr mit mehr Infos zu versorgen. Weber C Fraktur. Eine Sprunggelenksfraktur passiert oft beim Sport durch starke Krafteinwirkung etwa einen Sturz.

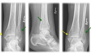
Fraktur oberhalb der verletzen Syndesmose Membrana interossea häufig auch rupturiert Die Maisonneuve-Fraktur wird als Sonderform der Sprunggelenksfraktur auch als Weber C klassifiziert. This normally takes approximately 6 weeks to heal. Die Weber-Klassifikation eine Methode zur Beschreibung von Sprunggelenksfrakturen.

Syndesmose-Verletzung bei Weber B undoder. Look up the French to German translation of weber c fraktur in the PONS online dictionary. Translation for Weber C Fraktur All Languages EN SV IS RU RO FR IT SK PT NL HU FI LA ES BG HR NO CS DA TR PL EO SR EL BS SK FR HU IS NL PL ES RU.

KLASIFIKASI FRAKTUR WEBER Drsimon ponco septiono f Weber A Garis fraktur berada dibawah syndemiosis thibiofibularis f Weber B Garis fraktur berada setinggi syndemiosis thibiofibularis f Weber C Garis fraktur berada diatas syndemiosis thibiofibularis f. Weber C Fraktur immer Weber A- und Weber B- Frakturen mit. Many translated example sentences containing Weber c Fraktur English-German dictionary and search engine for English translations.

Check Weber-C-Fraktur translations into English. Neben der Weber C Fraktur gibt es auch noch die Fraktur der Klasse A und B.

Sprunggelenksfraktur Symptome Behandlung Heilungsdauer Spatfolgen Gelenk Klinik De

Sprunggelenksfraktur Symptome Behandlung Heilungsdauer Spatfolgen Gelenk Klinik De

Sprunggelenksfraktur Med Bayern Ost

Sprunggelenksfraktur Med Bayern Ost

Sprunggelenksfraktur Med Bayern Ost

Sprunggelenksfraktur Med Bayern Ost

Sprunggelenksfraktur Op Zentrum Orthopadie Chirurgie

Sprunggelenksfraktur Op Zentrum Orthopadie Chirurgie

Wadenbeinbruch Wie Erfolgt Die Einteilung Nach Weber

Wadenbeinbruch Wie Erfolgt Die Einteilung Nach Weber

Weber C Fraktur Sprunggelenksfraktur Youtube

Weber C Fraktur Sprunggelenksfraktur Youtube

File Weber Fraktur Jpg Wikimedia Commons

File Weber Fraktur Jpg Wikimedia Commons

Weber C Fraktur

Weber C Fraktur

Das Sprunggelenk Anatomie Und Chirurgie Ota Franzi

Das Sprunggelenk Anatomie Und Chirurgie Ota Franzi

Spezielle Probleme Und Spatfolgen Nach Osg Fraktur Springerlink

Spezielle Probleme Und Spatfolgen Nach Osg Fraktur Springerlink

Glossar

Glossar

Sprunggelenkbruch Sprunggelenksfraktur Apotheken Umschau

Sprunggelenkbruch Sprunggelenksfraktur Apotheken Umschau

Weber Klassifikation Doccheck Flexikon

Weber Klassifikation Doccheck Flexikon

Wer Kennt Sich Mit Weber C Frakturen Aus Operation Fraktur

Wer Kennt Sich Mit Weber C Frakturen Aus Operation Fraktur

Http Www Dgu Online De Fileadmin Migrated Content Uploads Dgu Patienteninformation Sprunggelenksfraktur F Pdf

Http Www Dgu Online De Fileadmin Migrated Content Uploads Dgu Patienteninformation Sprunggelenksfraktur F Pdf

Sprunggelenksfraktur Definition Maisonneuve Fraktur Onmeda De

Sprunggelenksfraktur Definition Maisonneuve Fraktur Onmeda De

Arthrose Des Oberen Sprunggelenks Orthopadie Technik

Arthrose Des Oberen Sprunggelenks Orthopadie Technik

Mein Beinbruch Weber C Fraktur About Myself 2 Youtube

Mein Beinbruch Weber C Fraktur About Myself 2 Youtube

Chronik Einer Sprunggelenkfraktur Sky Junkies

Chronik Einer Sprunggelenkfraktur Sky Junkies

Universitatsklinik Fur Unfallchirurgie Sprunggelenksfraktur

Universitatsklinik Fur Unfallchirurgie Sprunggelenksfraktur

Sportmedizin Kompendium Malleolar Frakturen Therapie

Sportmedizin Kompendium Malleolar Frakturen Therapie

Sprunggelenkbruch Sprunggelenksfraktur Apotheken Umschau

Sprunggelenkbruch Sprunggelenksfraktur Apotheken Umschau

Orthopadie Sportmedizin Flashcards Quizlet

Orthopadie Sportmedizin Flashcards Quizlet

1

1

Sprunggelenksfraktur Ursachen Symptome Behandlung Medlexi De

Sprunggelenksfraktur Ursachen Symptome Behandlung Medlexi De

Sprunggelenkfrakturen Operative Technik Springerlink

Sprunggelenkfrakturen Operative Technik Springerlink

Nur Drei Wochen Ruhigstellung Bei Weber B Fraktur Sportsandmedicine Com

Nur Drei Wochen Ruhigstellung Bei Weber B Fraktur Sportsandmedicine Com

Http Www Dgu Online De Fileadmin Migrated Content Uploads Dgu Patienteninformation Sprunggelenksfraktur F Pdf

Http Www Dgu Online De Fileadmin Migrated Content Uploads Dgu Patienteninformation Sprunggelenksfraktur F Pdf

Sprunggelenksfraktur Definition Maisonneuve Fraktur Onmeda De

Sprunggelenksfraktur Definition Maisonneuve Fraktur Onmeda De

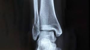
Ankle Fracture Weber C Radiology Case Radiopaedia Org

Ankle Fracture Weber C Radiology Case Radiopaedia Org

Habt Ihr Erfahrungen Mit Wadenbeinbruch Weber C Fraktur Gesundheit Und Medizin Sport Und Fitness Beinbruch

Habt Ihr Erfahrungen Mit Wadenbeinbruch Weber C Fraktur Gesundheit Und Medizin Sport Und Fitness Beinbruch

Physiotherapie Bei Einer Sprunggelenksfraktur

Physiotherapie Bei Einer Sprunggelenksfraktur

Sprunggelenkfraktur Wikipedia

Sprunggelenkfraktur Wikipedia

Sprunggelenkfraktur Ogam Orthopadie

Sprunggelenkfraktur Ogam Orthopadie

Weber C Fraktur Metall Entfernung Wann Kann Man Wieder Normal Gehen Seite 3

Weber C Fraktur Metall Entfernung Wann Kann Man Wieder Normal Gehen Seite 3

Weber C Fraktur Definition Dauer Und Behandlung

Weber C Fraktur Definition Dauer Und Behandlung

Skelett Trauma Rontgendiagnostik Oberes Sprunggelenk Osg

Skelett Trauma Rontgendiagnostik Oberes Sprunggelenk Osg

Fraktur Typ Weber C Ubersehen 10 000 Euro

Fraktur Typ Weber C Ubersehen 10 000 Euro

Sprunggelenkfraktur Ogam Orthopadie

Sprunggelenkfraktur Ogam Orthopadie

Sprunggelenksbruch Knochelbruch Malleolarfraktur Fuss Sprunggelenk Orthozentrum Cham Zug Schweiz Orthopadische Chirurgie Dr Med Rolf F Oetiker

Sprunggelenksbruch Knochelbruch Malleolarfraktur Fuss Sprunggelenk Orthozentrum Cham Zug Schweiz Orthopadische Chirurgie Dr Med Rolf F Oetiker

Mama Aus Leidenschaft Testet Meine Sprunggelenksfraktur Weber C

Mama Aus Leidenschaft Testet Meine Sprunggelenksfraktur Weber C

Sprunggelenksfraktur Op Zentrum Orthopadie Chirurgie

Sprunggelenksfraktur Op Zentrum Orthopadie Chirurgie

Chirurgie Sprunggelenks Unterschenkels Fraktur Flashcards Quizlet

Chirurgie Sprunggelenks Unterschenkels Fraktur Flashcards Quizlet

Radiosurf

Radiosurf

Universitatsklinik Fur Unfallchirurgie Sprunggelenksfraktur

Universitatsklinik Fur Unfallchirurgie Sprunggelenksfraktur

Orthoforum Sprunggelenksfraktur

Orthoforum Sprunggelenksfraktur

Weber C Fracture

Weber C Fracture

Https Www Thieme Connect Com Products Ejournals Pdf 10 1055 S 0034 1383218 Pdf

Https Www Thieme Connect Com Products Ejournals Pdf 10 1055 S 0034 1383218 Pdf

1

1

Unsubscribe from the mod 2.

Weber C Fraktur. Neben der Weber C Fraktur gibt es auch noch die Fraktur der Klasse A und B. Was ist eine Weber-C-Fraktur. DayZ sa well kit DayZ Expansion Building Kits - YouTub. Verschobenem Bruch dislozierte Fraktur undoder. It has a role in determining treatment. Weber C Fraktur. Look up the French to German translation of weber c fraktur in the PONS online dictionary. The Weber ankle fracture classification or Danis-Weber classification is a simple system for classification of lateral malleolar fractures relating to the level of the fracture in relation to the ankle joint specifically the distal tibiofibular syndesmosis.


Check Weber-C-Fraktur translations into English. Use the information below to gain a better understanding of your injury and what can be done to maximise your recovery. Delete the file appworkshop_221100acf in HSteamLibrarysteamappsworkshop wherever your library is 3. Verschobenem Bruch dislozierte Fraktur undoder. This video will show you how to craft building kits. Die Saison 2019 endete für einen unserer Fahrer leider mit einer Weber C Fraktur dennoch sind die ersten Einschreibungen für 2020 schon bestätigt Es wird auch schon wieder fleißig trainiert wir nehmen uns vor euch nächstes Jahr mit mehr Infos zu versorgen. Es gibt drei Arten dieser Fraktur.

Post a Comment for "Weber-c-fraktur"